注册
×
用户登录

用户名

密码

记住用户名 忘记密码?

asdasdas

登  录 无帐号?点击注册
×关闭
用户注册

用户名

密码

验证码

手机验证码

获取

我已阅读并同意春雨国际注册协议隐私政策

asdasdas

注  册 已有账号?点击登录
隐私政策

前言
春雨国际一向庄严承诺以保护使用其交互性产品和服务之用户的隐私。以下声明旨在披露与春雨国际网页有关的隐私政策并试图回答以下问题:

 
• 春雨国际收集哪些个人信息,如何收集、使用、储存和分享这些信息以及谁有权接触这些个人 信息
 
• 什麽是cookies,它们是怎麽用的
 
• 春雨国际的用户在披露个人信息时有哪些选择

 
• 春雨国际的用户怎样接近、更新、控制、保护或删除他/她的信息
 
• 如果春雨国际的用户对春雨国际的隐私政策有问题,他们应该和谁联系
因为春雨国际的成功取决於建立与维护对用户的良好信誉,我们会坚定的实施保护我们用户隐私的措施。此外,我们认为自己有责任就在互联网上的隐私问题树立榜样并帮助建立有关标准。在zhuce 过程中,每一项服务都要求用户提供不同类型和数量的个人信息。春雨国际力图通过善意使用这些资料而为用户提供更好的服务。本隐私政策适用於您与春雨国际页面的交互行为以及您登记和使用春雨国际的在线服务。除了在本隐私政策和服务条款以及其他公布的准则的规定的情况下,我们不会公布与用户个人身份有关的资料。请注意春雨国际不时地会检查其隐私措施,因此有关的措施会随之变化。我们恳请您定期光顾本页以确保对我们隐私政策最新版本始终保持了解。在阅读完本政策之後,如您对本《隐私政策》或与本《隐私政策》相关的事宜有任何问题,请与service@cycares.com联系。
您使用或继续使用我们的服务,都表示您同意我们按照本《隐私政策》收集、使用、储存和分享您的信息。
春雨国际收集用户的两类信息:
(1) 与个人身份无关的信息:
当用户来到我们的网页,我们收集和汇总诸如哪些网页受到了访问,访问的顺序,链接途径等信息。收集这些信息涉及到记录访问春雨国际的每个用户的IP地址、操作平台、浏览器软件等。尽管这些信息无关个人身份,但我们能够通过其IP地址确定其使用的ISP和其上网的地理位置。这些无关个人身份的信息都帮助我们辩别我们网页最受欢迎的地区并确定我们推广活动的有效性。此外,我们也可能将这些信息披露给我们的广告客户,使他们知道点击他们广告的人数。
(2) 有关个人身份的信息:
在春雨国际网页的某些区域,比如在登记春雨国际服务时,用户会被要求提供生日等信息。在登记加入交互式的春雨国际虚拟社区时,用户会被要求提供姓名、代号、籍贯、性别、爱好及兴趣等信息。
春雨国际收集这类关于个人身份的信息主要是为了用户能够更容易和更满意地使用春雨国际的网页。春雨国际的目标是向所有的互联网用户提供刺激、有趣及有教益的上网经历。而这些个人信息有助於我们实现这一目标。
所有用户应该知道,当他们在公告牌、聊天室、签名簿或其他公开场合披露其个人身份信息,该等信息可能会被他人收集并用来向他们发送未经邀约的电子邮件。当您发现春雨国际的用户不正当地收集或使用您或他人的信息时,请联系service@cycares.com
上述两类信息的来源及春雨国际搜集这些信息的途径:
您提供的信息
 
• 您在注册我们的账户或使用我们的服务时,向我们提供的相关个人信息,例如电话号码、电子邮件和银行卡号等;
 
• 您通过我们的服务向其他方提供的共享信息,以及您使用我们的服务时所储存的信息。
其他方分享的您的信息
其他方使用我们的服务时所提供有关您的共享信息。
我们获取的您的信息
您使用我们服务时我们可能收集如下信息:

• 日志信息指您使用我们服务时,系统可能会通过cookies、web beacon或其他方式自动采集的技术信息,包括:
 
◦ 设备或软件信息,例如您的移动设备、网页浏览器或您用于接入我们的服务的其他程序所提供的配置信息、您的IP地址和您的移动设备所用的版本和设备识别码;
  
◦ 您在使用我们服务时搜索和浏览的信息,例如您使用的网页搜索词语、访问的社交媒体页面url地址,以及您在使用我们服务时浏览或要求提供的其他信息和内容详情;
 
◦ 有关您曾使用的移动应用(APP)和其他软件的信息,以及您曾经使用该等移动应用和软件的信息;
 
◦ 您通过我们的服务进行通讯的信息,例如曾通讯的账号,以及通讯时间、数据和时长;及
 
◦ 您通过我们的服务分享的内容所包含的信息(元数据),例如拍摄或上传的共享照片或录像的日期、时间或地点等。
• 位置信息指您开启移动终端设备定位功能并使用我们基于位置提供的相关服务时,我们收集的有关您位置的信息,包括: 
 
◦ 您通过具有定位功能的移动设备使用我们的服务时,我们通过GPS或WiFi等方式收集的您的地理位置信息; 
 
◦ 您或其他用户提供的包含您所处地理位置的实时信息,例如您提供的账户信息中包含的您所在地区信息,您或其他人上传的显示您当前或曾经所处地理位置的共享信息,例如您或其他人共享的照片包含的地理标记信息;以及
 
◦ 您可以通过关闭定位功能随时停止我们对您的地理位置信息的收集。
我们如何使用您的信息
我们可能将在向您提供服务的过程之中所收集的信息用作下列用途:
 
• 向您提供服务;
 
• 在我们提供服务时,用于身份验证、客户服务、安全防范、诈骗监测、存档和备份用途,确保我们向您提供的产品和服务的安全性;

• 帮助我们设计新服务,改善我们现有服务;
 
• 使我们更加了解您如何接入和使用我们的服务,从而针对性地回应您的个性化需求,例如语言设定、位置设定、个性化的帮助服务和指示,或对您和其他使用我们服务的用户作出其他方面的回应;
 
• 向您提供与您更加相关的广告以替代普遍投放的广告;
 
• 评估我们服务中的广告和其他促销及推广活动的效果,并加以改善;

• 软件认证或管理软件升级;及
 
• 让您参与有关我们产品和服务的调查。
为了让我们的用户有更好的体验、改善我们的服务或您同意的其他用途,在符合相关法律法规的前提下,我们可能将通过我们的某一项服务所收集的个人信息,以汇集信息或者个性化的方式,用于我们的其他服务。例如,在您使用我们的一项服务时所收集的您的个人信息,可能在另一服务中用于向您提供特定内容或向您展示与您相关的、而非普遍推送的信息。如我们在相关服务之中提供了相应选项,您也可以主动要求我们将您在该服务所提供和储存的个人信息用于我们的其他服务。
针对某些特定服务的特定个人信息保护声明将更具体地说明我们在该等服务中如何使用您的信息。
如何访问和控制您的信息
我们将尽量采取适当的技术手段,保证您可以访问、更新和更正您的注册信息或使用我们的服务时提供的其他个人信息。在访问、更新、更正和删除您的个人信息时,我们可能会要求您进行身份验证,以保障您的账户安全。
对于通过cookies和web beacon收集的您的信息,我们还在以下“COOKIES、日志档案和WEB
BEACON”部分说明了向您提供的选择机制。
我们如何分享您的信息
除以下情形外,未经您同意,我们不会与任何第三方分享您的个人信息:
 
• 我们可能将您的个人信息与我们的合作伙伴及第三方服务供应商、承包商及代理(例如代表我们发出电子邮件或推送通知的通讯服务提供商、以及为我们提供位置数据的地图服务供应商)分享(他们可能并非位于您所在法域),用作下列用途:
 
◦ 向您提供我们的服务;
  
◦ 实现“我们如何使用您的信息”部分所述目的;
  
◦ 履行我们在本《隐私政策》或春雨国际与您达成的其他协议中的义务和行使我们的权利;及
 
◦ 理解、维护和改善我们的服务。
如我们与任何上述第三方分享您的个人信息,我们将努力确保该等第三方在使用您的个人信息时遵守本《隐私政策》及我们要求其遵守的其他适当的保密和安全措施。
 
• 随着我们业务的持续发展,我们有可能进行合并、收购、资产转让或类似的交易,而您的个人信息有可能作为此类交易的一部分而被转移。
 
• 我们还可能为以下原因需要保留、保存或披露您的个人信息:
 
◦ 您授权或同意春雨国际披露的;
 
◦ 遵守适用的法律法规;
 
◦ 遵守法院命令或其他法律程序的规定;
 
◦ 遵守相关政府机关的要求;
  
◦ 我们认为为遵守适用的法律法规、维护社会公共利益、或保护我们或我们的集团公司、我们的客户、其他用户或雇员的人身和财产安全或合法权益或公共安全及利益所合理必需的;及
  
◦ 根据春雨国际各服务条款及声明中的相关规定,或者春雨国际认为必要的其他情形下。
我们如何保留、储存和保护您的信息
我们仅在本《隐私政策》所述目的所必需期间和法律法规要求的时限内保留您的个人信息。
我们使用各种安全技术和程序,以防信息的丢失、不当使用、未经授权阅览或披露。例如,在某些服务中,我们将利用加密技术(例如SSL)来保护您向我们提供的个人信息。但请您谅解,由于技术的限制以及风险防范的局限,即便我们已经尽量加强安全措施,也无法始终保证信息百分之百的安全。您需要了解,您接入我们的服务所用的系统和通讯网络,有可能因我们可控范围外的情况而发生问题。
有关共享信息的提示
我们的多项服务可让您不仅与您的社交网络、也与使用该服务的所有用户公开分享您的相关信息,例如,您在我们的服务中所上传或发布的信息(包括您公开的个人信息、您建立的名单)、您对其他人上传或发布的信息作出的回应,以及包括与这些信息有关的位置数据和日志信息。使用我们服务的其他用户也有可能分享与您有关的信息(包括位置数据和日志信息)。特别是我们的社交媒体服务,是专为使您可以与世界各地的用户共享信息而设计,从而使共享信息可实时、广泛的传递。只要您不删除共享信息,有关信息便一直留存在公众领域;即使您删除共享信息,有关信息仍可能由其他用户或不受我们控制的第三方独立地缓存、复制或储存,或由其他用户或该等第三方在公众领域保存。
因此,请您认真考虑您通过我们的服务上传、发布和交流的信息内容。在一些情况下,您可通过我们某些服务的隐私设定来控制有权浏览您的共享信息的用户范围。
春雨国际的用户总是可以选择是否披露信息。有些信息是登记我们的服务所必需的,但大多数其他信息的提供是由用户决定的。春雨国际将视用户舒适度及自主选择为首位。
春雨国际为用户提供不计其数的网络互动活动,为便于用户参予互动活动并获取互动奖品,春雨国际通常要求申请者在联系方法(通讯地址和电话)之外,还要根据其个人兴趣填写表格。此类信息被春雨国际用来累积其用户的数据。如果用户不想提供所要求的信息和参加此类活动,这完全由用户自行决定。
有关信息更新与公开的特别提示
春雨国际鼓励用户更新和修改其个人信息以使其有效。春雨国际用户能在任何时候非常容易地获取并修改其个人信息。用户可以自行决定修改、删除他们的相关资料。
请记住,无论何时您自愿披露个人信息(如在留言板、通过电子邮件或在聊天区公布), 此种信息可能被他人收集及使用,因此造成您的个人信息泄露,春雨国际不承担责任,如果您将个人信息公布在上述渠道,您就有可能造成个人信息泄露。因此,我们提醒并请您慎重考虑是否有必要在上述渠道公开您的个人信息。
有关敏感个人信息的提示
某些个人信息因其特殊性可能被认为是敏感个人信息,例如您的种族、宗教、个人健康和医疗信息等。
请注意,您在我们的服务中所提供、上传或发布的内容和信息(例如有关您社交活动的照片或信息),可能会泄露您的敏感个人信息。您需要谨慎地考虑,是否使用我们的服务披露您的敏感个人信息。
您同意您的敏感个人信息按本《隐私政策》所述的目的和方式来处理。
COOKIES、日志档案和WEB BEACON
通过使用Cookies,春雨国际向用户提供简单易行并富个性化的网络体验。一个Cookies是少量的数据,它们从一个网络服务器送至您的浏览器并存在计算机硬盘上。春雨国际使用Cookies是为了让其用户受益。比如,为使得春雨国际虚拟社区的登录过程更快捷,用户们可以选择把用户名和口令存在一个Cookies中。这样下次当用户要登录春雨国际的服务时,只要点击一键就可以了。Cookies能帮助我们确定您连接的页面和内容,您在春雨国际特定网页上花费的时间和您所选择的春雨国际的服务。
Cookies 还能告诉我们您在我们的网页上看到了哪些广告。总之,Cookies是放置在春雨国际的计算机或服务器上的您的身份证。Cookies只能被设置它们的服务器阅读,而且不能执行任何代码或病毒。Cookies使得春雨国际能更好、更快地为您服务,并且使您在春雨国际网页上的经历更富个性化。然而,您应该能够控制Cookies是否以及怎样被你的浏览器接受。请查阅您的浏览器附带的文件以获得更多这方面的信息。简而言之,春雨国际将Cookies当作一种便捷的体验,其作用是使得用户在从春雨国际的一项服务转到另一项服务时,无须再证明自己的身份。
我们和第三方合作伙伴可能通过cookies和web beacon收集和使用您的信息,并将该等信息储存。
我们使用自己的cookies和web beacon,用于以下用途:

• 记住您的身份。例如:cookies和web beacon有助于我们辨认您作为我们的注册用户的身份,或保存您向我们提供有关您的喜好或其他信息;
• 分析您使用我们服务的情况。我们可利用cookies和web beacon来了解您使用我们的服务进行什么活动、或哪些网页或服务最受欢迎;及
 
• 广告优化。Cookies和web beacon有助于我们根据您的信息,向您提供与您相关的广告而非进行普遍的广告投放。 我们为上述目的使用cookies和web beacon的同时,可能将通过cookies和web beacon收集的非个人身份信息汇总提供给广告商和其他伙伴,用于分析您和其他用户如何使用我们的服务并用于广告服务。
我们的产品和服务上可能会有广告商和其他合作方放置的cookies和web beacon。这些cookies和web beacon可能会收集与您相关的非个人身份信息,以用于分析用户如何使用该等服务、向您发送您可能感兴趣的广告,或用于评估广告服务的效果。这些第三方cookies和web beacon收集和使用该等信息不受本《隐私政策》约束,而是受到其自身的个人信息保护声明约束,我们不对第三方的cookies或web beacon承担责任。
您可以通过浏览器或用户选择机制拒绝或管理cookies或web beacon。但请您注意,如果您停用cookies或web beacon,我们有可能无法为您提供最佳的服务体验,某些服务也可能无法正常使用。同时,您仍然将收到同样数量的广告,只是这些广告与您的相关性会降低。
广告
我们可能使用您的信息,向您提供与您更加相关的广告。
我们也可能使用您的信息,通过我们的服务、电子邮件或其他方式向您发送营销信息,提供或推广我们或第三方的如下商品和服务:
 如您不希望我们将您的个人信息用作前述广告用途,您可以通过我们在广告中提供的相关指示、或在特定服务中提供的选择机制,要求我们停止为上述用途使用您的个人信息。
我们向您发送的邮件和信息
邮件和信息推送
您使用我们服务时,我们可能使用您的信息向您的设备发送电子邮件、新闻或推送通知。如您不希望收到这些信息,您可以按照我们向您发出的电子邮件所述指示,在设备上选择取消订阅。
与服务有关的公告
我们可能在必需时(例如当我们由于系统维护而暂停某一项服务时)发出与服务有关的公告。您可能无法取消这些与服务有关、性质不属于推广的公告。
我们服务中的第三方服务
我们的服务可能包括或链接至第三方提供的社交媒体或其他服务(包括网站)。例如:

• 您可利用 “分享”键将某些内容分享到我们的服务,或您可利用第三方连线服务登录我们的服务。这些功能可能会收集您的信息(包括您的日志信息),并可能在您的电脑装置cookies,从而正常运行上述功能;及

• 我们通过广告或我们服务的其他方式向您提供链接,使您可以接入第三方的服务或网站。 该等第三方社交媒体或其他服务由相关的第三方负责运营。您使用该等第三方的社交媒体服务或其他服务(包括您向该等第三方提供的任何个人信息),须受第三方自己的服务条款及个人信息保护声明(而非本《隐私政策》)约束,您需要仔细阅读其条款。本《隐私政策》仅适用于我们所收集的任何信息,并不适用于任何第三方提供的服务或第三方的信息使用规则,而我们对任何第三方使用由您提供的信息不承担任何责任。
年龄限制
春雨国际建议:任何未成年人参加网上活动应事先取得家长或其法定监护人(以下简称"监护人")的同意。春雨国际将根据国家相关法律法规的规定保护未成年人的相关信息。
我们鼓励父母或监护人指导未满十八岁的未成年人使用我们的服务。我们建议未成年人鼓励他们的父母或监护人阅读本《隐私政策》,并建议未成年人在提交个人信息之前寻求父母或监护人的同意和指导。
本《隐私政策》的适用范围
除某些特定服务外,我们所有的服务均适用本《隐私政策》。这些特定服务将适用特定的个人信息保护声明。该特定服务的个人信息保护声明构成本《隐私政策》的一部分。如任何特定服务的个人信息保护声明与本《隐私政策》有不一致之处,则适用特定服务的个人信息保护声明。
除本《隐私政策》另有规定外,本《隐私政策》所用词语将与春雨国际制定的其他公开条款所定义的词语具有相同的涵义。
请您注意,本《隐私政策》不适用于以下情况:

• 通过我们的服务而接入的第三方服务(包括任何第三方网站)收集的信息;或
 
• 通过在我们服务中进行广告服务的其他公司和机构所收集的信息。
本《隐私政策》的修改
我们可能随时修改本《隐私政策》的条款,该等修改构成本《隐私政策》的一部分。如该等修改造成您在本《隐私政策》下权利的实质减少,您可以选择停止使用我们向您提供的服务;在该种情况下,若您仍然继续使用我们的服务的,即表示同意受经修订的本《隐私政策》的约束。
任何修改都会将您的满意度置於首位。我们鼓励您在每次访问春雨国际的网页时都查阅我们的隐私政策。
最后,您是唯一对您的账号和密码信息负有保密责任的人。任何情况下,请小心妥善保管。
有关本声明或春雨国际的隐私措施的问题请与春雨国际的网站协调人联系。地址是service@cycares.com

同意并继续
注册协议

【注意】欢迎申请使用春雨壹品(北京)国际信息科技有限公司及其他合作运营主体(下列简称为“春雨国际”)提供的服务。请您(下列简称为“用户”)仔细阅读以下全部内容(特别是粗体下划线标注的内容)。如用户不同意本服务条款任意内容,请勿注册或使用春雨国际服务。如用户通过进入注册程序并勾选“我同意春雨国际服务条款”,即表示用户与春雨国际已达成协议,自愿接受本服务条款的所有内容。此后,用户不得以未阅读本服务条款内容作任何形式的抗辩。

1.服务条款的确认和接纳
春雨国际服务涉及到的春雨国际产品的所有权以及相关软件的知识产权归春雨国际所有。春雨国际所提供的服务必须按照其发布的公司章程,服务条款和操作规则严格执行。本服务条款的效力范围及于春雨国际的一切产品和服务,用户在享受春雨国际任何单项服务时,应当受本服务条款的约束。
当用户使用春雨国际各单项服务时,应以春雨国际认可的方式同意该单项服务的服务条款以及春雨国际在该单项服务中发出的各类公告(下列简称为“单项条款”),在此情况下单项条款与本服务条款同时对用户产生效力。若单项条款与本服务条款存在同类条款的冲突,则在单项条款约束范围内应以单项条款为准。
为使用户及时、全面了解春雨国际提供的各项服务,用户同意,春雨国际可以多次、长期向用户发送各类商业性短信息而无需另行获得用户的同意。
用户同意与注册、使用春雨国际服务相关的一切资料、数据和记录,包括但不限于春雨国际用户帐号、注册资料、所有登录、消费记录和相关的使用统计数字等归春雨国际所有。发生争议时,用户同意以春雨国际的系统数据为准,春雨国际保证该数据的真实性。
尽管有前述约定,对于用户使用春雨国际服务帐号享受春雨国际旗下单项服务(时产生的一切数据,包括但不限于产品登录记录、消费记录及其他产品日志、产品客户服务记录、用户在产品中创造的社会网络内容等,归具体产品运营主体所有。发生争议时,用户同意以具体产品运营主体的系统数据为准。但是如果单项条款存在与前述不同的约定,则以单项条款约定为准。

2.服务条款的修改
春雨国际有权在必要时通过在网页上发出公告等合理方式修改本服务条款以及各单项服务的相关条款。用户在享受各项服务时,应当及时查阅了解修改的内容,并自觉遵守本服务条款以及该单项服务的相关条款。用户如继续使用本服务条款涉及的服务,则视为对修改内容的同意,当发生有关争议时,以最新的服务条款为准;用户在不同意修改内容的情况下,有权停止使用本服务条款涉及的服务。

3.服务的变更或中止
春雨国际始终在不断变更和改进服务。春雨国际可能会增加或删除功能,也可能暂停或彻底停止某项服务。用户同意春雨国际有权行使上述权利且不需对用户或第三方承担任何责任。

4.用户隐私制度
用户知悉并同意,为便于向用户提供更好的服务,春雨国际将在用户自愿选择服务或者提供信息的情况下收集用户的个人信息,并将这些信息进行整合。在用户使用春雨国际服务时,服务器会自动记录一些信息,包括但不限于URL、IP地址、浏览器类型、使用语言、访问日期和时间等。为方便用户登录或使用春雨国际的服务,春雨国际在有需要时将使用cookies等技术,并将收集到的信息发送到对应的服务器。用户可以选择接受或者拒绝cookies。如用户选择拒绝cookies,则用户有可能无法登录或使用依赖于cookies的服务或者功能。春雨国际收集的信息将成为春雨国际常规商业档案的一部分,且有可能因为转让、合并、收购、重组等原因而被转移到春雨国际的继任公司或者指定的一方。春雨国际同意善意使用收集的信息,且采取各项措施保证信息安全。
尊重用户个人隐私是春雨国际的一项基本政策。所以,春雨国际不会公开或透露用户的注册资料及保存在春雨国际各项服务中的非公开内容,除非春雨国际在诚信的基础上认为透露这些信息在以下几种情况是必要的:
(1)事先获得用户的明确授权;或
(2)遵守有关法律规定,包括在国家有关机关查询时,提供用户的注册信息、用户在春雨国际的网页上发布的信息内容及其发布时间、互联网地址或者域名;或
(3)保持维护春雨国际的知识产权和其他重要权利;或
(4)在紧急情况下竭力维护用户个人和社会大众的隐私安全;或
(5)根据本条款相关规定或者春雨国际认为必要的其他情况下。
春雨国际可能会与第三方合作向用户提供相关的网络服务,在此情况下,如该第三方同意承担与春雨国际同等的保护用户隐私的责任,则春雨国际可将用户信息提供给该第三方。

5.用户的帐号、密码和安全性
用户一旦注册成功成为用户,用户将得到一个密码和帐号。用户可随时改变用户的密码和图标,也可以结束旧的帐户重开一个新帐户。用户应维持密码及帐号的机密安全,如果用户未保管好自己的帐号和密码而对用户、春雨国际或第三方造成损害,用户将负全部责任。用户同意若发现任何非法使用用户帐号或安全漏洞的情况,有义务立即通告春雨国际。

6.不可抗力条款
春雨国际对不可抗力导致的损失不承担责任。本服务条款所指不可抗力包括:天灾、法律法规或政府指令的变更,因网络服务特性而特有的原因,例如境内外基础电信运营商的故障、计算机或互联网相关技术缺陷、互联网覆盖范围限制、计算机病毒、黑客攻击等因素,及其他合法范围内的不能预见、不能避免并不能克服的客观情况。

7.禁止服务的商业化
用户承诺,非经春雨国际同意,用户不能利用春雨国际各项服务进行销售或其他商业用途。如用户有需要将服务用于商业用途,应书面通知春雨国际并获得春雨国际的明确授权。

8.用户管理
用户独立承担其发布内容的责任。用户对服务的使用必须遵守所有适用于服务的地方法律、国家法律和国际法律。用户承诺:
(1)用户在春雨国际的网页上发布信息或者利用春雨国际的服务时必须符合中国有关法规,不得在春雨国际的网页上或者利用春雨国际的服务制作、复制、发布、传播以下信息:
(a) 违反宪法确定的基本原则的;
(b) 危害国家安全,泄露国家秘密,颠覆国家政权,破坏国家统一的;
(c) 损害国家荣誉和利益的;
(d) 煽动民族仇恨、民族歧视,破坏民族团结的;
(e) 破坏国家宗教政策,宣扬邪教和封建迷信的;
(f) 散布谣言,扰乱社会秩序,破坏社会稳定的;
(g) 散布淫秽、色情、赌博、暴力、恐怖或者教唆犯罪的;
(h) 侮辱或者诽谤他人,侵害他人合法权益的;
(i) 煽动非法集会、结社、游行、示威、聚众扰乱社会秩序的;
(j) 以非法民间组织名义活动的;
(k) 含有法律、行政法规禁止的其他内容的。
(2)用户在春雨国际的网页上发布信息或者利用春雨国际的服务时还必须符合其他有关国家和地区的法律规定以及国际法的有关规定。用户需遵守法律法规的规定使用春雨国际微博客服务。
(3)用户不得利用春雨国际的服务从事以下活动:
(a) 未经允许,进入计算机信息网络或者使用计算机信息网络资源的;
(b) 未经允许,对计算机信息网络功能进行删除、修改或者增加的;
(c) 未经允许,对进入计算机信息网络中存储、处理或者传输的数据和应用程序进行删除、修改或者增加的;
(d) 故意制作、传播计算机病毒等破坏性程序的;
(e) 其他危害计算机信息网络安全的行为。
(4)用户不得以任何方式干扰春雨国际的服务。
(5)用户不得滥用春雨国际服务,包括但不限于:利用春雨国际提供的服务服务发送垃圾邮件,利用春雨国际服务进行侵害他人知识产权或者合法利益的其他行为。
(6)用户应遵守春雨国际的所有其他规定和程序。
用户须对自己在使用春雨国际服务过程中的行为承担法律责任。用户承担法律责任的形式包括但不限于:对受到侵害者进行赔偿,以及在春雨国际首先承担了因用户行为导致的行政处罚或侵权损害赔偿责任后,用户应给予春雨国际等额的赔偿。若用户违反以上规定,春雨国际有权作出独立判断立即暂停或终止对用户提供部分或全部服务,包括锁定、注销、删除用户春雨国际服务帐号等措施。用户理解,如果春雨国际发现其网站传输的信息明显属于上段第(1)条所列内容之一,依据中国法律,春雨国际有义务立即停止传输,保存有关记录,向国家有关机关报告,并且删除含有该内容的地址、目录或关闭服务器。

9.保障
用户同意保障和维护春雨国际全体成员的利益,承担由用户违反服务条款的损害补偿费用,其它人使用用户的电脑、帐号而产生的费用。用户或者使用用户帐号的其他人在进行游戏过程中侵犯第三方知识产权及其他权利而导致被侵权人索赔的,由用户承担责任。
如用户或其它网络服务提供者利用春雨国际的服务侵害他人民事权益的,应当承担侵权等法律责任。
如用户利用春雨国际的服务实施侵权行为的,被侵权人有权通知春雨国际采取删除、屏蔽、断开链接等必要措施。春雨国际接到通知后,因自身过错若未及时采取必要措施的,按法律规定承担责任。

10.通知
所有发给用户的通知都可通过电子邮件、常规的信件或在网站显著位置公告的方式进行传送。春雨国际将通过上述方法之一将消息传递给用户,告知他们服务条款的修改、服务变更、或其它重要事情。同时,春雨国际保留对申请了春雨国际服务的用户投放商业性广告的权利。

11.内容、商标的所有权
春雨国际提供的内容包括但不限于:非用户上传/提供的文字、软件、声音、相片、视频、图表等。所有这些内容均属于春雨国际,并受版权、商标、专利和其它财产所有权法律的保护。所以,用户只能在春雨国际授权下才能使用这些内容,而不能擅自复制、再造这些内容、或创造与内容有关的派生产品。
春雨国际以及春雨国际的其他标志及春雨国际产品、服务的名称,均为春雨国际之商标(以下简称“春雨国际标识”)。未经春雨国际事先书面同意,您不得将春雨国际标识以任何方式展示或使用或作其他处理,也不得向他人表明您有权展示、使用、或其他有权处理春雨国际标识的行为。

12.法律
本条款适用中华人民共和国的法律,并且排除一切冲突法规定的适用。
如出现纠纷,用户和春雨国际一致同意将纠纷交由春雨国际所在地法院管辖。

13.信息储存及相关知识产权
春雨国际对春雨国际服务帐号上所有服务将尽力维护其安全性及方便性,但对服务中出现的信息(包括但不限于用户发布的信息)删除或储存失败不承担任何责任。

14.青少年用户特别提示
青少年用户必须遵守全国青少年网络文明公约:
要善于网上学习,不浏览不良信息;要诚实友好交流,不侮辱欺诈他人;要增强自护意识,不随意约会网友;要维护网络安全,不破坏网络秩序;要有益身心健康,不沉溺虚拟时空。

15.春雨国际服务帐号的有效期
用户清楚知悉春雨国际服务帐号存在有效期,并同意不定时登录使用春雨国际服务帐号以延续其有效期。

16.其他
(1)春雨国际不行使、未能及时行使或者未充分行使本条款或者按照法律规定所享有的权利,不应被视为放弃该权利,也不影响春雨国际在将来行使该权利。
(2)如本条款中的任何条款无论因何种原因完全或部分无效或不具有执行力,本服务条款的其余条款仍应有效且具有约束力,春雨国际及用户均应尽力使该条款设定的本意得到实现。
(3)本条款中的标题仅为方便而设,不作为解释本条款的依据。


同意并继续
×关闭
找回密码

用户名

验证码

手机验证码

获取

新密码

确认密码

asdasdas

提  交

重新设定密码成功!
点击确定按钮返回登录页面进行登录

确定并返回登录

分享

微博分享

未来诊断肿瘤的最佳助手 竟然是只鸽子?

来源:科学人    发布时间: Wed Nov 25 22:06:23 CST 2015

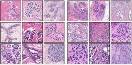
辨别组织切片本来应该是训练有素的病理医生的工作才对,鸽子又能懂什么呢?

春雨国际 春雨国际医疗肿瘤0.jpg

  在小小的「工作室」中,一只鸽子凝视着萤幕上粉紫色调的染色切片图像,这些图像来自患者病变的乳腺组织。在触控萤幕的两边,分别显示着黄蓝两色的选择按钮—一边代表良性,一边代表恶性,此时,「鸽子医生」要作出它的判断。

  这样的画面看起来有些荒诞:辨别组织切片本来应该是训练有素的病理医生的工作才对,鸽子又能懂什么呢?不过在一项研究中,科学家们却真的一本正经地训练鸽子认起了肿瘤切片。他们对鸽子们进行了一系列病理切片和医学影像的鑑别训练。一开始鸽子们判断切片的正确率只有50%(当然,这根本是随便瞎选的命中率),而在经过15天的训练之后,鸽子们的判断正确率就提升到了85%左右。对于丝毫没有接触过病理学的它们来说,这个成绩可算是相当不错了。

  但是究竟为什么要让鸽子学习如何识别肿瘤呢?难道在将来,我们就要看到这些鸽子披上白大褂到医院上岗了吗?不,当然不是这样,鸽子又不懂医学,也没法沟通,怎么能真的把诊断这么重要的任务交给它们呢。不过学会识别切片的鸽子,倒是真有它们的应用潜能。

  【目标:改进技术】

  在传统的病理学诊断中,经过训练的病理医生们会直接透过显微镜,观察组织细胞的形态,并透过种种迹象判断病变部位到底出了什么问题。而现在这个学科也正在变得越来越数位化,很多显微图像以数位檔案的形式储存和共用,医生和病理学家们也要更多地在萤幕上进行观察了。

  病理切片图像的细节十分繁复,而数位图像的处理方式、萤幕的显示都可能对它的细节展示造成影响,并影响医生的判断,因此对这些技术进行评估和改进很有必要。不过,这和很多其他的诊断技术不同,改进病理学技术的研究实行起来要麻烦得多。因为经验丰富的病理医生是这个领域唯一可靠的标准,靠他们来对这些技术一一进行人工评判会很花时间,成本也相当高。虽然现在也有一些基于电脑的辅助替代品,但它们模拟真人的表现并不那么尽如人意。

春雨国际 春雨国际医疗肿瘤1.jpg

  因此,研究者们希望找到一些能够替代病理学家进行技术改进研究的实验物件,于是,他们就选中了鸽子。

  【为什么是鸽子?】

  那么,为什么不是训练别的动物,而且鸽子呢?其实这个选择也很有道理。从此前的研究来看,鸽子在图形辨别方面的表现十分出色。牠们可以区分英文字母,检查出胶囊中的残次品,识别人脸的特徵和表情,甚至还会区分莫内和毕卡索的画作。不仅如此鸽子们的图形记忆也十分了得,牠们可以记住并回忆起1800张图片。

  为了训练鸽子,研究者们制作了一个专门的迷你「读片室」,并利用食物训练鸽子啄触控萤幕上的选择按钮作出判断。他们首先利用144张不同难度的病理图片对鸽子进行了训练,随着训练进行,鸽子们选择的正确率逐渐上升到了85%左右。不过,它们究竟是理解了良性和恶性细胞的规律,还是只是单纯地记住了图片本身呢?为了验证这一点,研究者们又在测试中加入了一批新的图片。结果显示,鸽子们确实掌握了分辨组织切片的规律,面对第一次看到的新图片,牠们也保持了与老图片一致的正确率。除了病理图片,研究者们还成功教会了鸽子识别乳房X光检查的图像。

  85%的正确率离完美还差得很远,不过这也显示了鸽子用于病理学技术改善的应用潜力。与电脑类比相比,鸽子们的视觉处理系统也与人类更相近一些。将来,在这些「鸽子病理医生」的帮助下,真正的病理医生们或许就可以用上更加先进的影像处理和显示技术了。

春雨国际 春雨国际医疗肿瘤2.jpg

  春雨国际医疗是一个链接优质国际医疗服务的互联网平台。我们是首家多国远程医疗咨询服务提供商,为用户提供全面、专业、安全的海外体检、诊疗及一站式跨境医疗服务,致力于整合全球优质医疗健康资源,打造国际化健康服务平台。

春雨国际 春雨国际医疗肿瘤 鸽子 海外体检 出国看病 全球医疗资源

相关资讯
成功案例 新疗法 最新药品
返回顶部

为了您更好的体验,请选择IE7以上浏览器

免费获取
专业医学顾问指导

视频会诊 试管婴儿 海外转诊 HPV疫苗 精密体检 健康管理

400-898-8090
7X24小时咨询专线