JAAOS 综述:桡骨头关节置换研究进展

来源:丁香园    发布时间: Fri Jul 24 16:49:23 CST 2015

桡骨头置换已成为治疗复杂桡骨头骨折、肘关节不稳、和肱桡关节炎的治疗选择。在过去的几十年间,大量的桡骨头关节假体被设计开发并应用于临床,它们在金属材料、假体设计和固定方法等方面存在不同。文献报道松配型(loose-fitting)假体可以取得良好的短期和中期临床疗效。而压配型假体(press-fit)虽然也可以重建肘关节稳定缓解肘部疼痛,但是有较大的可能出现假体松动导致返修。桡骨头关节置换术后的主要并发症包括:肘关节僵硬、疼痛、尺神经麻痹、骨间后神经麻痹、异位骨化,但是上述并发症的出现主要与肘部原始创伤关系

  在治疗新鲜桡骨头骨折、肘关节不稳、和肱桡关节炎方面,桡骨头关节置换已取得良好的疗效,中长期临床疗效满意。美国费城的 Daniel C. Acevedo 教授在 2014 年 10 月的 JAAOS 杂志上撰写文章介绍了该手术方式的治疗进展,现全文翻译如下。

  摘要:桡骨头置换已成为治疗复杂桡骨头骨折、肘关节不稳、和肱桡关节炎的治疗选择。在过去的几十年间,大量的桡骨头关节假体被设计开发并应用于临床,它们在金属材料、假体设计和固定方法等方面存在不同。文献报道松配型(loose-fitting)假体可以取得良好的短期和中期临床疗效。而压配型假体(press-fit)虽然也可以重建肘关节稳定缓解肘部疼痛,但是有较大的可能出现假体松动导致返修。桡骨头关节置换术后的主要并发症包括:肘关节僵硬、疼痛、尺神经麻痹、骨间后神经麻痹、异位骨化,但是上述并发症的出现主要与肘部原始创伤关系密切。在使用桡骨头置换治疗不可重建的桡骨头骨折时,手术适应症的把握、假体类型的选择、熟练的手术技巧是取得良好疗效的关键。

  桡骨头骨折大约占到全身所有骨折的 5.4%,其典型的受伤机制为上肢外展时前臂旋前位跌伤。其骨折类型从简单的无移位型骨折直至合并复杂的肘关节不稳。大多数的患者年龄为 20 岁至 64 岁。临床上最常运用的一种骨折分型方式为 Mason 分型,Johnston 随后对 Mason 分型进行了改良:I 型骨折,无移位骨折;II 型骨折:轻度移位;III 型骨折,移位并粉碎的骨折;IV 型骨折,骨折合并肘关节脱位。虽然并无证据证明该分型系统对于判断骨折预后的价值,但是该分型用于桡骨头骨折分类有利于指导医生选择治疗方案。

  非手术治疗的方法主要用于无移位的骨折,对其进行早期保护性运动。对于移位性骨折以及合并复杂性肘关节不稳的患者,常常需要手术治疗,主要手术方式包括:桡骨头切除术、切开复位内固定术、桡骨头置换术。当桡骨头骨折合并肘关节脱位时,通常会造成肘部周围韧带损伤,对于无法重建的桡骨头骨折,比较适用于进行桡骨头关节置换。

  解剖和生物力学

  桡骨头具有和肱骨小头相适应的桡骨头凹,其表面与与尺骨近端小乙状切迹形成上尺桡关节。桡骨头的轴线与桡骨干轴线存在一个接近 15°的外翻角。桡骨头并非圆形,而是一个椭圆形的形状,当前臂位于旋前中立位时,桡骨头的纵轴垂直于尺骨小乙状切迹关节面。肘关节的稳定性由肘部韧带结构以及肱尺关节、肱桡关节共同维持。侧副韧带是由内侧和后侧增厚的肘关节囊所组成(见图 1)。

  外侧副韧带复合体包括桡侧副韧带、环状韧带、尺骨外侧副韧带以及相关的副韧带。桡侧副韧带和尺骨外侧副韧带是外侧韧带复合体的两个主要稳定结构,桡侧副韧带和尺骨外侧副韧带相互之间呈 Y 形,桡侧副韧带从前向后插入环状韧带,尺骨外侧副韧带从后方发出穿过桡骨头的下方进入旋后肌骨嵴。环状韧带具有单独的起点,其止点位于尺骨的桡骨切迹前后缘,维持桡骨头与尺骨之间的关系。肘关节的骨性结构以及外侧韧带复合体可以对抗伸肘情况下的内翻应力。当屈肘时,关节的骨性关系则是维持肘关节稳定的主要结构。

  内侧副韧带包括前束、后束和斜束。内侧副韧带的前束是对抗肘关节外翻的主要结构。桡骨头则是对抗外翻应力的辅助结构,当内侧副韧带无法提供稳定时,桡骨头可以承担主要的稳定作用。桡骨头与前臂骨间后神经的近端非常近,因此在进行桡骨头手术时需要注意这个问题。Tornetta 等人研究发现骨间后神经距离肱桡关节的距离平均为 1.2mm。手术过程中将前臂旋前对骨间后神经具有一定的保护作用。需要进行手术治疗的桡骨头骨折通常都伴有尺骨冠突、肘关节外侧和 / 或内侧副韧带的损伤。在进行手术时,了解损伤机制及其需要修复的组织结构对于重建肘关节的稳定至关重要。

  


  图 1 肘关节内外侧副韧带的示意图。A 肘关节内侧韧带示意图 Transverse ligament:尺侧副韧带的斜束 Anterior bundle 尺侧副韧带前束 Posterior bundle 尺侧副韧带后束 B 肘关节外侧韧带示意图 Anterior capsule 前侧关节囊 Radial collateral ligament 桡侧副韧带 Annular ligament 环状韧带

  手术指征

  新鲜桡骨头骨折

  新鲜粉碎性桡骨头骨折的骨块超过 3 块时,我们建议进行桡骨头关节置换。骨折块一旦超过 3 个之后切开复位内固定治疗的疗效不良率高达 54%。该类型骨折通常无法重建,使用关节置换的疗效会优于切开复位内固定。当桡骨头存在严重畸形无法修复时也需要进行桡骨头关节置换。

  复杂肘关节脱位

  通常认为损伤时的肘关节不稳或脱位会造成桡骨头的前外侧发生骨折。发生肘关节脱位时,肘关节周围韧带,尤其是外侧尺骨副韧带的完整性受到破坏,内侧副韧带可能也会受损,闭合复位后肘关节后会存在不稳定。Bain 等人建议对于关节面受损超过 30% 的桡骨头骨折合并肘关节不稳的患者进行桡骨头关节置换。当无法进行切开复位内固定的时候应进行桡骨头关节置换。桡骨头关节置换曾被推荐用于肘关节恐怖三联症(如:肘关节后侧脱位合并桡骨头骨折、尺骨冠突骨折)和后侧 Monteggia 变异型损伤。当尺骨冠突骨折小于 50% 时,尺骨冠突、桡骨头骨折合并肘关节不稳时可以通过单纯的桡骨头关节置换和外侧尺骨副韧带修复手术进行治疗。

  骨折不愈合和畸形愈合

  如果桡骨头骨折未能在合适的对位对线上愈合,由于关节面不匹配或骨折不愈合会造成肘部疼痛。虽然文献报道桡骨头关节置换疗效可靠,但是对于桡骨头骨折不愈合和畸形愈合的关节置换的适应症仍不明确,究竟哪种情况的骨折不愈合和畸形愈合才可以进行关节置换。桡骨头关节假体可以取代畸形愈合的桡骨头来重建肘部的解剖结构和生物力学关系。Shore 等人使用桡骨头关节置换治疗创伤后肘关节不稳,他们认为该方法安全有效可以恢复患肢的功能活动度。

  肱桡关节炎

  移位性桡骨头骨折在进行良好的复位内固定后仍有可能会出现创伤性肱桡关节炎。软组织间隔式肘关节成形术(例如:肘肌成形术、跟腱移植术)也是可选的治疗方案。在美国近期已经出现了肱桡关节全关节置换手术。肱桡关节全关节置换的手术指征还在发展,由于该技术彻底解决了存在炎症的桡骨头与肱骨小头之间的骨性接触,因此被认为优于单独的桡骨头全关节置换。肱桡关节全关节置换技术由桡骨头关节置换和肱骨小头表面置换两部分组成。文献中尚未提出肱桡关节全关节置换的指征,但是我们可以认为该方法是治疗某些类型患者的一种治疗选择。

  禁忌症

  桡骨头关节置换的禁忌症为可修复的桡骨头骨折以及活动性感染。肱骨小头关节炎是单纯桡骨头关节置换的相对禁忌症。

  手术入路

  通过后侧切口或外侧切口可以显露桡骨头。在处理复杂肘关节不稳的时候,后侧切口可以同时显露肘关节的内外侧。该入路的切口位于肘关节后方,弧形绕过尺骨鹰嘴尖。外侧切口可以直接暴露桡骨头,因此可以用于绝大多数的单纯桡骨头置换手术。外侧入路的切口从肱骨外上髁的近端斜向尺骨旋后肌骨嵴。无论选择哪种切口,都需要通过 Kocher 或 Kaplan 入路、或切开伸指肌总腱来显露桡骨远端(见图 2)。通过尺侧腕伸肌和肘肌之间的细小脂肪条纹可以找到经典的 Kocher 间隙。但是 Kocher 入路可能会损伤外侧尺骨副韧带。Kaplan 入路是利用伸指肌总腱与桡侧伸腕长短肌之间的间隙。Kaplan 入路可以保护外侧尺骨副韧带不出现医源性损伤,但是当手术中向远端延长时容易损伤骨间后神经。

  


  图 2 桡骨头外侧入路示意图。a 线指示 Kaplan 入路,位于伸指肌总腱与桡侧伸腕长短肌之间的间隙 b 线指示经典的 Kocher 入路,位于尺侧腕伸肌和肘肌之间

  手术技巧

  在进行择期单纯桡骨头关节置换时,我们喜欢选用外侧切口。通过外侧切口可以评估可以处理外侧尺骨副韧带,而 Kaplan 入路无法进行外侧尺骨副韧带的探查。能够过肘关节筋膜层的脂肪条纹来辨别确认 Kocher 间隙。从肱骨外上髁近端开始沿脂肪条纹切开。向后牵开肘肌,并注意保护近端的肘关节囊。保持外侧肱三头肌的完整并将肘肌向后牵开形成皮瓣。桡侧伸腕长肌和伸指总肌位于肱骨前方。一旦显露旋后肌,则提示接近尺骨。从肱骨外上髁部位向旋后肌骨嵴切开肘关节囊。在复杂肘关节不稳的病例中,外侧尺骨副韧带通常受到损伤。

  如果可以的话,第二作者比较喜欢在不破坏外侧尺骨副韧带的情况下进行桡骨头关节置换。但是如果显露桡骨头时存在必要,也可以从肱骨外上髁上切断外侧尺骨副韧带,后期再进行修复。插入 Hohmann 拉钩将桡骨头向外拉开并远离肱骨小头,使用微型摆锯在桡骨颈部位进行截骨。现有的桡骨头假体的后续手术步骤大多类似。在我们所做的绝大多数桡骨头关节置换手术中,我们偏向于使用光滑柄的桡骨头假体。对桡骨近端髓腔进行扩髓以完成假体的解剖学匹配,然后插入假体试模。

  在确认桡骨头假体尺寸时,我们喜欢选择较小的假体,因为一旦假体过大出现过度充填会影响肘关节的稳定性,造成后期出现肱骨小头疼痛和磨损。术中显露尺骨半月切迹,尽量将假体的近端关节面与尺骨半月切迹对齐以获得合适的假体高度。如果术者的桡骨头关节置换经验并不丰富,那么术中进行透视会有所帮助,但是需要注意的是,在透视片上,桡骨头假体要比原始自身的桡骨头大上许多,其原因是由于金属假体完全替代了桡骨头的骨性结构及其 X 线上不显影的软骨。

  完成假体的固定后,如果有必要,则使用对接(docking)的方式修复外侧尺骨副韧带。仔细修复伸肌肌群以提供肘关节外侧的稳定性。对于外侧尺骨副韧带减弱的陈旧性患者可能需要使用自体或异体肌腱移植修复重建(见图 3)。

  桡骨头关节置换手术的关键在于桡骨头假体与尺骨之间的高度和关系。Doornberg 等人采用二维和三维 CT 扫描的方法测量了 17 例桡骨头正常的患者,评估桡骨头的高度与尺骨冠突之间的关系。结果发现,桡骨头的高度平均位于尺骨冠突的近端 0.9mm 处,因此他们建议在进行桡骨头置换时使用术中透视方法将桡骨头假体放置于尺骨冠突外侧缘水平,以避免关节出现过度填塞。

  在他们之后,Athwal 等人进行了一项尸体研究,依次使用合适大小的桡骨头假体以及超过 8mm 的假体,作者发现根据观察肱尺关节外侧间隙可以有效评估假体是否过度填塞。当使用加大 2mm 的假体时,尺关节外侧间隙为 0.9mm。在这项研究中,透视的意义并不明显,使用加大 6mm 的假体并且出现过度填塞时,影像学并不能发现肱尺关节间隙有什么异常。

  


  图 3 A 一例急性肘关节恐怖三联症的外侧入路处理桡骨头。插入解剖型桡骨头假体,外侧尺骨副韧带被剥离后见到光滑的肱骨外上髁。B 外侧尺骨副韧带大约位于镊子与肱骨小头的中点位置。沿肱骨外侧柱从前向后钻孔。使用对接(docking)技术修复外侧尺骨副韧带。 C 对于陈旧性外侧尺骨副韧带不稳的病例,使用半腱肌修复重建。

  在插入桡骨头假体后检查肘关节的运动情况也可以帮助正确选择假体的尺寸。分别在屈肘后和伸肘的时候评估肱桡关节间隙大小。Birkedal 等人报道了 6 例桡骨头置换术后因为疼痛而去除假体的病例。尸体实验的结果认为肱桡关节间隙在屈肘时明显小于伸肘时。桡骨头假体型号轻微偏大就会造成桡骨头贴近肱骨远端,从而造成术后屈曲功能障碍和疼痛(见图 4)。

  


  图 4 A 使用过大的桡骨头假体治疗肘关节恐怖三联症的前后位 X 线片。肱尺关节外侧间隙增大,尺骨相对肱骨向内移位。B 侧位 X 线片。肱桡关节的过度填塞导致肱尺关节不匹配。

  桡骨头关节置换的另外一个重要技术使要修复肘关节外侧韧带复合体。Beingessner 等人进行了一项尸体实验,在进行桡骨头关节置换后对比研究是否修复肘关节外侧韧带复合体和前臂伸肌的影响。结果发现除非外侧尺骨副韧带完整,否则单纯的桡骨头关节置换不能完成并不足以完全恢复肘关节的稳定性。这一研究证实了在使用桡骨头关节置换治疗复杂肘关节脱位时修复重建尺骨外侧副韧带的重要性。

  桡骨头假体的设计及其临床疗效

  松配型(loose-fitting)假体

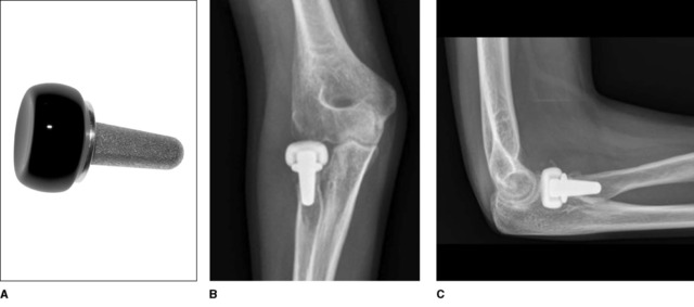
  根据假体与桡骨骨质的关系,有些桡骨头关节假体被归为松配型(见图 5)。根据桡骨头、桡骨颈、桡骨干的大小设计相应的桡骨头假体。假体柄被设计成可以安放在原始桡骨头的解剖位置,形成稳定肘关节的构件。理论上讲,和可能被放置于非解剖位置的压配型假体相比,类型的假体不会出现松动和内置入物疼痛。当肘关节活动时,松配型型假体可以“回缩”(dial in),在运动过程中肱骨小头更好的完成匹配。松配型假体的理论优势在于可以适应桡骨头假体与自身桡骨头的差别。但是,该类型假体仍有可能存在肱桡关节过度填塞的问题。

  


  图 5 A Evolve 松配型假体具有组装式的桡骨头和光滑的柄。前后位(B)和侧位(C)X 线显示使用 Evolve 型假体治疗的一例 Mason-Johnston 分型 III 型桡骨头骨折

  最近的临床证据显示松配型假体可以取得良好中短期疗效。Chien 等人使用松配型型假体治疗 10 例桡骨头骨折和 3 例桡骨头骨不连患者,平均随访 38 个月(范围 20 至 70 个月)。Mayo 肘关节表现评分获得明显改善,8 例患者疗效为优,3 例良,2 例可。没有 1 例患者因为假体松动而去除桡骨头假体,也未发现肱骨小头出现磨损。

  Doornberg 等人使用松配型型假体治疗合并肘关节不稳的桡骨头骨折同样取得了良好疗效。27 例患者中有 17例出现桡骨颈部位的 X 线透亮带,9 例患者出现肱骨小头磨损,但是上述患者均未报告存在有与上述情况有关的疼痛。

  考虑到这一类型的假体是被人为设计有意松散放置的,因此桡骨颈假体柄周围的透亮带是无法避免的,而这些透亮带的临床影响微乎其微。没有研究数据评估该类型假体的透亮带达到何种程度就会对临床疗效造成影响。根据现有证据,虽然目前还很难判断松配型型假体是否优于压配型假体,但是该类型假体确实可以起到缓解疼痛、重建肘关节的稳定性的作用。

  压配型柄假体(press-fit stems)

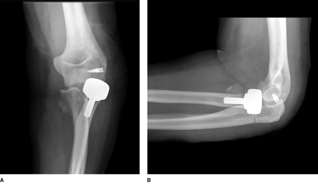
  压配型假体的假体柄通常进行喷砂处理或者进行等离子喷涂来保证假体柄可以和桡骨颈髓腔紧密贴服(图 6)。该类型假体也为组装式设计。假体头具有和原始桡骨头一样的桡骨头凹和偏心距。喷砂处理的钛合金假体柄具有粗糙的外表面,和等离子喷涂的假体柄相比,喷砂处理的假体柄被认为可以提供更好的原始压配稳定性,但是这两种方式处理的假体柄都还存在一定程度上可以接受的微动。等离子喷涂的假体柄被认为可以取得获得更好的骨质长入,对于长柄型假体更为有利。压配型假体的假体柄与桡骨髓腔相匹配。由于假体柄与髓腔贴合在一起,假体不能在髓腔内活动,因此必须在正确的位置放置假体。手术过程中,当过度扩髓放置过大的假体柄时会发生桡骨干骨折。

  


  图 6 压配型解剖型桡骨头假体系统的轴位(左)和侧位(右)相。该假体具有组合式的钛合金桡骨头以及喷砂的钛合金假体柄。桡骨头具有和人体自身桡骨头相一致的凹和偏心距。

  Moro 等人使用压配型桡骨头假体治疗 25 例(24 个患者)Mason-Johnston 分型 III 型和 IV 型桡骨头骨折。取得了良好疗效,健康测量量表 SF-36 明显改善,17 例肘关节的 Mayo 肘关节表现评分为优,患者的主观满意度评分平均为 9.2(满分 10 分)。肘关节的屈曲弧度平均为 28 至 140。17 例肘关节存在假体柄的放射透亮影,但是在平均 39 个月的随访期间没有一例患者因为疼痛或假体松动而需要去除假体。随后进行的一项使用压配型钴铬桡骨头关节治疗的 16 例患者的研究报道结果与其相似,该项研究的患者骨折类型包括新鲜、陈旧性桡骨头骨折以及肘关节骨折脱位,作者发现了一个有趣的现象,新鲜骨折患者的 DASH 评分以及肘关节运动要优于陈旧性骨折,虽然该优势并无显著统计学意义。

  最近又有一项 37 例压配型桡骨头关节置换的文献报道,平均影像学随访 50 个月,作者发现有 9 例患者因为假体松动而去除假体,除此之外还有另外 3 例患者出现了假体松动但保留假体。作者认为假体松动一般发生在术后早期(平均为术后 11 个月),通常需要去除关节假体。他们的临床结果中患者肘关节的活动度与之前文献报道的结果相似,但是作者并未评估报道去除假体组患者的临床结果。

  由此来看,压配型假体的短期临床效果较佳,但是和松配型假体相比存在较高的假体松动率和假体去除率。导致上述情况的原因可能主要是由于压配型假体柄不能活动以及不能适应肱骨小头的解剖形态。术中因素假体未被放置于解剖位置也有可能造成后期假体松动和疼痛,从而需要去除假体。如果桡骨头关节不能完成顺滑的肘关节运动,从长期来看,由于受到应力载荷的影响必将出现假体松动。此时可能需要去除假体,但这会造成后期桡骨向近端移位。根据目前的证据,压配型桡骨头关节置换确实可以重建肘关节稳定缓解疼痛和改善运动,但是出现假体松动导致翻修的可能性较高。

  双极假体

  双极桡骨头关节假体在桡骨头和桡骨颈的结合部位具有一个铰链结构(见图 7)。在肘关节的整个运动过程中,双极假体的桡骨头部件被认为可以更好的与肱骨小头匹配。最早由 Judet 等人进行的临床研究结果理想,12例患者的肘关节稳定性均获得恢复并且没有发生并发症。随后一些学者进行的中长期临床研究也取得了良好疗效。Celli 等人在 2010 年发表了一篇文章,16 例患者的平均随访 41.7 个月也证实了上述结论,87.5% 的新鲜桡骨头骨折患者通过双极桡骨头关节置换取得了满意的临床、功能和影像学结果。但是,该项研究同时报道了一种双极假体所独有的桡骨头关节置换并发症 -- 假体脱位。

  截止目前,评估应用双极桡骨头假体置换的最大宗研究报道来自于 Zunkiewicz。他们治疗了 23 例新鲜桡骨头骨折和 7 例陈旧性肘关节损伤,平均随访 34 个月(范围 24 至 48 个月)。患者的平均 DASH 评分为 13.8,肘关节屈伸活动度平均为 126°。有 2 例患者需要进行二次手术,1 例是因为桡骨颈截骨不足而继发的关节过度填塞,1 例为肘关节不稳而需加用外支架固定。随访影像学检查没有发现肱桡关节出现退行性改变。和单极假体相比,双极桡骨头假体置换的治疗效果似乎更好,可以为桡骨头重建提供另外一种治疗选择,但是与之相关的假体脱位也是一个主要难题。需要注意的是,在尸体研究中,尤其是对于肘关节恐怖三联症,单极假体可以更好的对抗肱桡关节半脱位。

  


  图 7 双极桡骨头关节假体。左侧为钛合金的假体柄,右侧为高分子的聚乙烯假体桡骨头

  热解炭假体(pyrocarbon)

  使用金属桡骨头假体置换会造成肱骨小头的磨损,这个问题引起了人们的关注。随着内置物技术的进步,出现了新型的热解炭假体,它由钛合金假体柄和热解炭桡骨头组成。热解炭具有和骨骼相似的弹性模量,同时可以更好的传递应力到桡骨。目前该类型假体的优势并不明显,但是从长远来看,它可以减少肱骨小头磨损,对于那些桡骨头无法重建的年轻患者更为有益,因为这些患者的假体使用寿命会比较长。

  近期,Ricón 等人使用 MoPyc(组合式热解炭)桡骨头假体治疗了 28 例无法重建的桡骨头骨折。该假体的桡骨头部件为热解炭,假体由单独的假体头、假体颈和假体柄三个部位组成。术后平均随访 32 个月,Mayo 肘关节评分获得改善,25 例患者疗效优良。 Ricón 的临床结果显示热解炭假体的疗效与之前其他类型假体相似,但是目前还缺少长期的临床结果报道。热解炭桡骨头假体没有出现新的并发症。该类型假体的研究主要在西班牙进行,目前还未在美国获得允许使用。只有一些指定的医院正在进行热解炭的新型桡骨头假体置换的研究(见图8)。

  


  图 8 A 热解炭桡骨头假体具有组合式的钛合金等离子喷涂的假体柄,桡骨头假体中心部位为聚乙烯结构,假体柄为锥形 B 和 C 一名年轻女性肘关节恐怖三联症患者,使用热解炭桡骨头假体的术后正侧位 X 线片

  肱桡关节置换

  肱桡关节置换是一个相对较新的手术方法,可被用于肱桡关节炎、不可重建的肱骨小头骨折以及肱骨小头坏死(见图 9)。肱骨小头假体有带柄和不带柄两种。将肱骨小头假体置换与之前讨论的桡骨头假体置换联合起来就构成了肱桡关节置换。对于存在肱桡关节炎的患者,单纯的桡骨头关节置换可能会进一步影响已经存在退变的肱骨小头。

  目前只有一例肱桡关节置换的文献报道,Heijink 等人使用肱桡关节置换治疗了 3 例合并肱骨小头退变的 Essex-Lopresti 损伤患者。3 例患者的疼痛和功能情况均获得改善,但是有 1 例患者因为假体松动而需要进行翻修手术。由于目前只有这一篇关于肱桡关节置换的病例报道,今后需要进行进一步的临床和生物力学研究来证实该技术是否存在优势。

  


  图 9 肱桡关节假体。该假体包括肱骨小头假体和压配式的桡骨头假体

  康复

  桡骨头关节置换术后康复的目的是使肘关节获得正常的功能活动范围。当使用桡骨头关节置换治疗单纯桡骨头骨折时,我们通常将患肢放于支具中制动固定 7 至 10 天,然后进行肘关节完全的主动运动练习以及和主动辅助下的关节运动,肘关节屈曲 90°下进行前臂的旋前、旋后等功能锻炼。术后六周,如果患者肌力和活动度的存在下降和障碍,则进行常规的物理治疗。对于术前存在肘关节不稳的患者,术中活动患肢了解肘关节在什么角度内活动是稳定的,术后 2 至 3 周内在这个安全活动弧度内进行康复运动练习,随后再进行不受限制的全范围活动练习。

  并发症

  桡骨头手术以后存在肘关节僵硬、疼痛、尺神经麻痹、骨间后神经麻痹、异位骨化等并发症。但是上述并发症并不是桡骨头关节置换所特有的并发症,其发生原因主要也是与肘部损伤有关。当过分牵拉桡骨颈时,容易出现骨间后神经麻痹。目前松配型和压配型的桡骨头假体在桡骨假体柄部位均存在放射学上的透亮带。文献证据在关于假体柄周围透亮带是否提示松动造成前臂疼痛的问题上仍相互矛盾。肱骨小头磨损是桡骨头关节置换的一个晚期并发症。由于目前的桡骨头假体的弹性模量都要高于人体自身肱骨小头软骨,必然会造成肱骨小头过度磨损。而桡骨头过度填塞则会进一步的加快肱骨小头磨损。双极桡骨头假体具有较高的假体脱位并发症发生率,假体脱位是其所独有的并发症,在使用该类型假体时需特别注意预防。

  总结

  在治疗新鲜桡骨头骨折、肘关节不稳、和肱桡关节炎方面,桡骨头关节置换已取得良好的疗效,中长期临床疗效满意。松配型假体也已取得良好的短期和中期临床疗效。压配型的假体可以缓解疼痛改善功能恢复肘关节稳定,但是具有较高的假体松动风险。目前,热解炭假体的临床疗效良好,但是在美国尚未得到使用。和单级假体相比,双极桡骨头假体似乎可以更好的提高临床疗效,但是假体脱位一直是个问题。手术适应症的把握、假体设计的理解、熟练的手术技巧是取得良好疗效的关键。


标签: 春雨国际,春雨国际医疗

相关推荐

热门推荐

官方微信
Android APP
iPhone APP
友情链接:春雨医生   奇点网   人民日报韩文版   环球网   出国在线   北京养生   不孕不育   爱康检查   肿瘤知识   友医健康站  

Copyright@2015 All Rights Reserved
版权所有:春雨壹品(北京)国际信息科技有限公司 京ICP备15050538  京卫计网审[2015]第0600号