青年人腰椎峡部裂:保守治疗效果好

来源:丁香园    发布时间: Tue Nov 03 10:10:20 CST 2015

在治疗青年人腰椎峡部裂方面,保守治疗与手术治疗疗效相当,而且保守治疗的并发症更少。

腰椎峡部裂是引起青年人腰痛的常见原因之一。目前该疾病主要采取保守治疗,而对于保守治疗无效的患者可行手术干预。直接修复联合皮质骨螺钉固定峡部(DR)是治疗腰椎峡部裂常见的手术方式。有研究称 DR 在治疗腰椎峡部裂方面优于融合手术。但是,目前对于 DR 在治疗青年人腰椎峡部裂方面是否优于传统非手术治疗尚无定论。

针对这一问题,韩国杨州市部队医院的 Lee 医生等做了一项前瞻性对比临床研究,提示青年腰椎峡部裂患者,随访 1 年时,保守治疗疗效与手术直接修复相近,文章发表于近期的 Spine J 杂志。

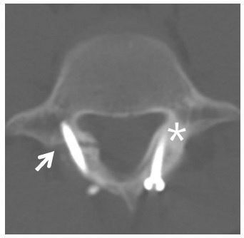
研究共纳入了自 2012 年 6 月至 2013 年 7 月在该部队医院就诊的 1784 例腰痛患者,其中符合研究标准、年龄介于 20 到 30 岁之间的,合计 149 例。根据患者的个人偏好,将 149 例患者分为两组:传统治疗组(包括药物治疗、理疗和注射治疗)和手术组(DR:4.5 mm 皮质骨螺钉固定 植骨)。具体手术技术见图 1。


B1443511946_small.jpg

图 1 腰椎 CT 提示手术技术:右侧峡部以一枚螺钉固定(中图和右图,黑色箭头),左侧峡部以钢丝固定(左图和中图,星号)

研究的观察指标包括:VAS 疼痛评分、ODI 功能评分和 SF-12 健康量表评分。其中 SF-12 健康量表评分包括物理评分和精神评分两个部分。影像学上的观察指标包括:峡部裂缺口间距和融合率。峡部不愈合定义为 CT 上融合骨块不连续(图 2 和图 3)。

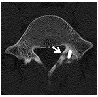
A1443511600_small.jpg

图 2 术后 1 年的 CT 提示峡部愈合(右侧,星号)和不愈合(左侧,箭头)

B1443511947_small.jpg

图 3 术后 1 年的 CT 提示峡部不愈合

共收集了 145 例患者的原始数据(保守治疗组 84 例,手术组 61 例)。其中传统治疗组和手术组在年龄、性别、体重指数、吸烟以及腰椎峡部裂发生节段方面无显著差异。经 1 年随访,传统治疗组和手术组的 VAS 疼痛评分均显著低于治疗前,而两组间的平均 VAS 疼痛评分并无显著差异(8.3 和 8.5)。两组在 ODI 功能评分和 SF-12 健康量表评分(包括物理评分和精神评分)方面也无显著差异。

手术组的峡部裂缺口间距优于保守组。直接修复的愈合率为 52%(32 / 61)。手术组中峡部融合患者和未融合患者在各临床观察指标方面未见显著差异。在治疗后并发症发生率方面,传统治疗组显著少于手术组(分别为 20% 和 31%)。

综上,在治疗青年人腰椎峡部裂方面,保守治疗与手术治疗疗效相当,而且保守治疗的并发症更少。


标签: 春雨国际,骨伤,腰椎峡部裂

相关推荐

热门推荐

官方微信
Android APP
iPhone APP
友情链接:春雨医生   奇点网   人民日报韩文版   环球网   出国在线   北京养生   不孕不育   爱康检查   肿瘤知识   友医健康站  

Copyright@2015 All Rights Reserved
版权所有:春雨壹品(北京)国际信息科技有限公司 京ICP备15050538  京卫计网审[2015]第0600号